Bee’s Knees
Owen Wall, Consultant Knee Surgeon at Leeds Knee Clinic, explains how getting treatment for niggly knee pain could change your life.
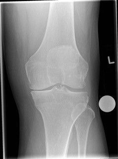
Arthritis of the knee currently affects approximately 8.5 million people in the UK, with one in five adults over 45 years old having symptoms that affect their daily life. These symptoms can range from intermittent discomfort and an occasional knee swelling at lower intensities, to constant pain with marked joint deformity, stiffness, instability, and resultant falls at higher intensities. So how does one know if the early symptoms of possible knee arthritis need treatment? Is there anything that can be done to prevent or slow down progression of knee arthritis? What are the latest treatment developments?
Many people will experience knee pain at some time of their lives, and whilst most will see things resolve without the need for a diagnosis, a significant number will develop longer term “niggles” that may become bothersome enough to stop activities such as walking, tennis, golf, skiing, and hiking. If you are one of these unfortunate souls who have been putting off seeing a specialist, either because of worry about what’s going on, or concern that your “niggle” just isn’t severe enough, or even if you’ve just not had the time to make the appointment, now is the time to get some answers and your knee diagnosis completed.
An expert assessment of your knee combined with some simple X-rays and scans can reveal in great detail the overall health of your knee joint and will also allow a personalised discussion about what treatments are suitable for your needs. Not all people with knee niggles require interventional or surgical treatment, but if they do, then a number of options can be discussed, from “keyhole” surgery for minor issues up to knee replacement for established arthritis. For individuals who only have arthritis affecting one of the three knee compartments, then most would be suitable for a partial knee replacement. Hospital stays are typically very short (usually one night) or even day case. The outcomes of partial knee replacement are excellent, patients often experience a quicker return to normal function and can also participate in most sports and activities when rehabilitation is complete.
If you wish to know more, or have your knee niggles diagnosed, please contact me via the link below or alternatively, email me via
owenrwall@leedskneeclinic.com













